トップへ » その他歯科治療 » Q&A » 患者さまのなにげない疑問に答えて » 15)なぜ定期健診するの?
15)なぜ定期健診するの?
定期的に、長く見ていくことで、わかることがあります。
ある患者さまのケースです。

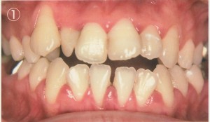
初来院①
歯肉がはれて出血すると来院された方。
歯肉炎が見られたので、歯石を取る治療とブラッシングの練習を行いました。


② 治療後

治療後、定期健診には一度も来院されませんでした。


③ 4年半後の来院
歯周病が進行していました。
歯周病の治療と、もう一度ブラッシングの練習をおこないました。
この時に定期健診の重要性をしっかりご理解いただきました


④ ③から3年後

⑤ ③から9年後
定期的に来院されるようになり、今も良好な健康状態です。健康な状態を維持するためにも、定期健診は重要な役割を持っています。
当院:京極歯科の定期健診の解説はこちらから。
治療内容 の 予防歯科・定期健診
トップへ » その他歯科治療 » Q&A » 患者さまのなにげない疑問に答えて » 15)なぜ定期健診するの?









